افضل دكتور جراحة أورام مخ واعصاب في مصر؟ جراحة الأورام المخ و الاعصاب من أدق الجراحات التي يقوم بها الأطباء فهي تحتاج الى مهاره وخبره عاليه ويشمل هذا التخصص العديد من الإجراءات الجراحية المتنوعة والمعقدة فهي تتم علي ايدي افضل دكتور جراحة أورام مخ واعصاب في مصر، سنتحدث على أهم النقاط التي تخص جراحه اورام مخ و اعصاب , أسباب حدوث جراحة الأورام و انواعها والتشخيص….
افضل دكتور جراحة أورام مخ واعصاب في مصر
تعتبر جراحة المخ والأعصاب من التخصصات الطبية الحساسة والمعقدة التي تتطلب خبرة ومهارة عالية. في هذا السياق، يعتبر الدكتور إسلام الأجهوري افضل دكتور جراحة أورام مخ واعصاب في مصر. يجمع الدكتور إسلام الأجهوري بين الخبرة العلمية والمهارات الجراحية، مما يجعله رائد في مجال جراحة المخ والأعصاب. حيث لديه خبرة أكثر من 15 سنة في جراحة اورام المخ والأعصاب والعمود الفقري .
.مما يجعل افضل دكتور جراحة أورام مخ واعصاب في مصر هو الدكتور إسلام الأجهوري حيث يحظي بتقدير وإعجاب المرضى الذين خضعوا لعلاجه يشهدون بمهاراته الجراحية وحسن تعامله و تفهمه للمخاوف والمتطلبات الشخصية لكل مريض.
معايير اختيار افضل دكتور لعلاج اورام المخ
إن الإنجازات والشهادات العلمية للطبيب تعكس مدى اهتمامه ومتابعته لأحدث طرق العلاج في مجاله المهني، كما تشير خبرته وكفاءته في علاج العديد من حالات أورام المخ إلى مستوى عالٍ من الكفاءة المهنية، يعكس اعتماد الطبيب على التقنيات والمعدات الطبية الحديثة تطوره المستمر واستعداده لتقديم العلاج الأمثل، ويُظهر معدل الشفاء في الحالات التي عولجت بواسطة الطبيب فاعلية الخدمة الطبية التي يقدمها والنتائج الإيجابية التي يحققها.
ما هي التقنيات المستخدمة فى عيادات افضل دكتور فى مصر لعلاج اورام المخ
في مجال علاج أورام المخ، شهدت الفترة الأخيرة تقدماً ملحوظاً في التقنيات الطبية المتاحة، وهذا يعكس التطور المستمر في الطب التكنولوجي، ويُعتبر توفر هذه التقنيات والأجهزة المتطورة شرطًا أساسيًا في تحديد مركز أفضل دكتور لعلاج أورام المخ.
عندما نقوم بالتحدث عن أفضل التقنيات التي ساهمت في شفاء العديد من الحالات بنسب نجاح ودرجة أمان عالية، نجد أن العديد من الأطباء ومن ضمنهم دكتور إسلام الأجهوري يفضلون استخدام منظار في علاج أورام المخ، وهذا يعود إلى المزايا العديدة التي يتمتع بها هذا النوع من الجراحة، منها:
- عدم الحاجة إلى عملية جراحية مفتوحة، بل يتم العملية من خلال شقوق صغيرة بالجلد.
- توفير مستوى أمان أعلى للمرضى مقارنة بالجراحات التقليدية.
- تقليل مخاطر العملية بشكل كبير مقارنة بالجراحة المفتوحة.
- إمكانية مغادرة المريض للمستشفى في نفس يوم العملية.
- عدم ترك آثار ندبات على الجلد بعد العملية.
- تقليل فترة النقاهة بشكل كبير.
تلك المزايا تعكس تطوراً في الرعاية الصحية وتقديم خدمات علاجية أكثر فاعلية وراحة للمرضى الذين يعانون من أورام المخ.
جراحه اورام مخ و اعصاب
جراحة اورام المخ والأعصاب تعتبر من أعقد الجراحات الحساسة التي تتم , قد يكون ورم الدماغ من نمو خلايا في الدماغ أو بالقرب منها او من أنسجة المخ و تشمل في بعض الأماكن القريبة للأعصاب الغدة النخامية و الأغشية التي تغطي الدماغ . يبدأ تكون أورام داخل الدماغ و هي تسمي الأورام الاوليه , أما الأورام الثانوية فهي تصل من أجزاء أخرى من الجسم إلى الدماغ وتسمى أيضا بالأورام التنقلية.

انواع اورام مخ و اعصاب
هناك أنواع عديدة من أورام الدماغ و يعتمد نوع الورم على نوع الخلايا التي تشكل الورم و يأتي دور افضل دكتور جراحة أورام مخ واعصاب في مصر حيث يوفر لك الطبيب المعلومات المطلوبة من خلال الفحوصات لخلايا الورم ومعلومات عن الخلايا لاكتشاف نوع الورم و معرفة أسباب حدوثه , هناك العديد من أنواع أورام مخ و اعصاب حيث يستطيع افضل دكتور جراحة أورام مخ واعصاب في مصر معرفة خصائصها وسلوكها:
- أورام دماغية غير سرطانية: تعرف أيضا باسم الأورام الحميدة وهي تنمو ببطء وعادة لا تنتشر خلال الجسم , قد لا تكون خطيرة وقد تحتاج إلى تدخل جراحي في حالة وجود الألم
- أورام دماغية سرطانية: تنمو بشكل و تنتقل الي مناطق اخري في الجسم بسرعه ,في بعض الحالات تكون مهددة للحياة و تسبب العديد من المشاكل الصحية و تحتاج الى تدخل جراحي في حالة عدم الاستجابة للعلاج.
اعراض اورام المخ والاعصاب
أعراض أورام المخ والأعصاب يمكن أن تتفاوت بشكل كبير اعتمادًا على موقع الورم وحجمه ونوعه، ويمكن أن تشمل مجموعة متنوعة من الأعراض. هنا بعض الأعراض الشائعة التي يمكن أن ترتبط بأورام المخ والأعصاب:
- الصداع: من الممكن أن يكون أحد أعراض أورام المخ. الصداع قد يكون شديد و مستمر او يمكن أن يحدث عندما يكون الشخص في وضع معين مثل النهوض من النوم.
- التغيرات في النظر والسمع: في بعض الأحيان يحدث تدهور في النظر أو السمع، مثل الرؤية المزدوجة أو فقدان السمع.
- الاضطرابات الحركية: قد يكون هناك تغييرات في الحركة والتوازن، مثل الدوار وصعوبة الحفاظ على التوازن.
- الاضطرابات العصبية: مثل ضعف العضلات أو الشلل الجزئي أو لعدم القدرة على التحكم بالحركات.
- التغيرات في الوظائف الحسية: مثل تخدير أو زيادة الحساسية أو خدر في أجزاء من الجسم.
- التغييرات العاطفية والسلوكية: قد يحدث بعض التغيرات المزاجية مثل الاكتئاب، القلق، أو التغيرات في السلوك والشخصية.
- صعوبات في التفكير والتركيز: قد تظهر مشاكل في التفكير والتركيز أو فقدان الذاكرة.

تشخيص أورام المخ و الأعصاب
تشخيص افضل دكتور جراحة أورام مخ واعصاب في مصر يشمل سلسلة من الخطوات والاختبارات التي تهدف إلى تحديد نوع الورم وموقعه وحجمه وخصائص الأخرى. و بناءً على نتائج هذه الاختبارات والتقييمات، يمكن للأطباء تحديد نوع الورم وما إذا كان حميدًا أم سرطانيًا وتحديد الخطوات المناسبة للعلاج. يعتمد العلاج على العديد من العوامل مثل نوع الورم وموقعه وحجمه وحالة المريض بشكل عام. من ضمن هذه الإجراءات:
- التاريخ الطبي والفحص السريري: يتم إعلام الطبيب تاريخك الطبي و الاعراض التي حدثت للمريض أو مدتها ثم ينتقل الطبيب إلى الفحص السريري لتقييم الأعراض وتشخيص الحالة.
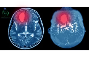
- التصوير الطبي: يتم إجراء تصوير طبي عن طريق الرنين المغناطيسي أو التصوير المقطعي بالأشعة المقطعية , حيث يتم تقديم صور ثلاثية الأبعاد للمخ والأعصاب لتحديد نوع الورم و خصائصه.
- التحاليل المخبرية: يتم اجراء تحاليل الدم و السوائل لمعرفة مستويات الهرمونات و المؤشرات الدقيقة للأمراض.
- الخزعة النسيجية: في بعض الحالات قد يحتاج الطبيب في بعض الحالات بأخذ عينة من النسيج من الورم لتحليلها ,لتحديد نوع الخلايا و التشخيص النهائي.
- الفحوصات الأخرى: قد يحتاج الطبيب لفحوصات مختلفة مثل الفحص العصبي و الفحص البصري بناء على الحالة الصحية للمريض.
لذا إذا كنت تعاني من أي من هذه الأعراض أو أعراض مشابهة، فمن المهم التواصل مع افضل دكتور جراحة أورام مخ واعصاب في مصر لإجراء التقييمات والفحوصات اللازمة لتحديد سبب الأعراض واتخاذ الخطوات المناسبة في التشخيص والعلاج.
اسئلة شائعة
هل كل الأورام في المخ سرطانية؟
لا، ليست جميع الأورام في المخ سرطانية. توجد أورام حميدة تكون غير خطيرة ولا تنتشر، بالإضافة إلى الأورام السرطانية التي تكون خطيرة وتمتد لأجزاء أخرى من الجسم.
ما هي خيارات العلاج لأورام المخ والأعصاب؟
تختلف خيارات العلاج اعتمادًا على نوع الورم ومرحلة موقعه. قد تشمل العلاجات الجراحية لإزالة الورم، والعلاج الإشعاعي للتقليل من الورم، والعلاج الكيميائي لبعض الحالات.
هل يمكن الوقاية من أورام المخ والأعصاب؟
لا توجد وسائل واضحة للوقاية المباشرة من أورام المخ والأعصاب. ولكن، العيش بنمط حياة صحي والحفاظ على وزن صحي وتجنب التعرض للعوامل المسببة للسرطان قد يساهم في تقليل خطر تطور أورام.
هل هناك علاقة بين الأورام والوراثة؟
بعض أنواع الأورام قد تكون لها عوامل وراثية، ولكن ليس كل الأورام تنتقل بواسطة الوراثة. تلعب الوراثة دورًا في بعض الحالات، ولكن العديد من الأمور الأخرى تؤثر على تطور الأورام أيضًا