ورم قاع الجمجمة هو حالة طبية تتعلق بنمو غير طبيعي للخلايا في الجزء السفلي من الجمجمة. يمكن أن يكون هذا النوع من الأورام خبيثًا أو حميدًا، ولكن في كل الحالات، فإن فهم أعراض ورم قاع الجمجمة والتشخيص المبكر يلعبان دوراً حاسماً في العلاج الفعّال. ففي هذا المقال تبدأ رحلتنا في استكشاف عالم ورم قاع الجمجمة بالتعرف على هذا المرض وأهميته في حياتنا اليومية. يعتبر التوعية حول الكشف عن أعراض ورم قاع الجمجمة والتشخيص المبكر سلاحًا فعّالًا في مواجهة هذا التحدي الصحي.
ورم قاع الجمجمة
ورم قاع الجمجمة هو نمو غير طبيعي أو تكوّن كتلة في منطقة قاع الجمجمة، وهي الجزء السفلي من الجمجمة الذي يشكل القاعدة العليا للجمجمة. يمكن أن يحدث ورم قاع الجمجمة نتيجة لعدة أسباب، بما في ذلك نمو خلايا غير طبيعي، أو وجود كتلة أو كتل غير سرطانية مثل الكيسات أو الورم الحميد.
أسباب ورم قاع الجمجمة
هناك عدة أسباب قد تؤدي إلى تكون ورم في قاع الجمجمة، وتشمل:
- الورم الحميد (النيوبرلازم): يمكن أن يكون الورم في قاع الجمجمة ناتجًا عن نمو خلايا غير سرطانية، مثل الكيسات أو الورم الحميد.
- الورم الخبيث (السرطان): يمكن أن يكون السبب وراء الورم وجود خلايا سرطانية في منطقة قاع الجمجمة.
- الكيسات السائلة: قد تتكون كيسات مملوءة بالسائل في منطقة قاع الجمجمة، وغالباً ما تكون غير خطيرة.
- التهابات الجمجمة: بعض الالتهابات يمكن أن تؤدي إلى تكون تورم في قاع الجمجمة.
- تكوين الأوعية الدموية الغير طبيعي: قد يحدث تشوه في الأوعية الدموية في المنطقة، مما يؤدي إلى تكون ورم.
- التشوهات الخلقية: قد يكون هناك خلل في التطور الجنيني يؤدي إلى تكوين ورم في قاع الجمجمة.
- الإصابات: إصابات الرأس والجمجمة قد تسبب تورمًا في منطقة قاع الجمجمة.
- أمراض العظام والمفاصل: بعض الأمراض التي تؤثر على العظام والمفاصل قد تسهم في تكوين ورم في هذه المنطقة.
أعراض ورم قاع الجمجمة
قد تكون أعراض ورم قاع الجمجمة متنوعة وتعتمد على نوع الورم ومدى تأثيره على الأنسجة المحيطة. من بين أعراض ورم قاع الجمجمة الممكنة:
- الصداع: قد يكون هناك صداع مستمر أو متكرر، خاصةً إذا كان الورم يؤثر على الضغط داخل الجمجمة.
- الغثيان والقيء: يمكن أن يصاحب الصداع الشديد وقد يكون ناتجًا عن زيادة الضغط داخل الجمجمة.
- تغيرات في الرؤية: قد يشعر المريض بضبابية في الرؤية أو قد يعاني من مشاكل في التركيز البصري
- التغيرات في السلوك والشخصية: في بعض الحالات، قد تحدث تغيرات في السلوك أو الشخصية، ويمكن أن تظهر أعراض ورم قاع الجمجمة نفسية.
- المشاكل السمعية: إذا كان الورم يؤثر على الأذن أو الهيكل السمعي، قد يحدث فقدان في السمع.
- المشاكل في التوازن والحركة: قد تظهر صعوبات في الحركة أو التوازن نتيجة لتأثير الورم على بعض الأعصاب.
- الآلام: قد يشعر المريض بآلام في المنطقة المحيطة بالجمجمة.

تشخيص ورم قاع الجمجمة
تشخيص أعراض ورم قاع الجمجمة يتطلب سلسلة من الخطوات والاختبارات التي يقوم بها الأطباء. من بين الإجراءات الممكنة:
- يبدأ الطبيب عادةً بجمع تاريخ طبي مفصل من المريض وإجراء فحص بدني لتقييم الأعراض والعلامات المرتبطة بالورم.
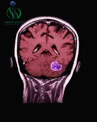
- يمكن أن يتم استخدام الأشعة السينية، والتصوير بالرنين المغناطيسي (MRI)، والتصوير بالموجات فوق الصوت (الألتراسونوجرافيا) للحصول على صور دقيقة للورم وتحديد حجمه ومكانه.
- يمكن أن يشمل تحليل عينات الدم لتحديد وجود مؤشرات على التهاب أو وجود خلايا سرطانية.
- في بعض الحالات، قد يتم أخذ عينة صغيرة من الورم لفحصها تحت المجهر لتحديد ما إذا كان الورم حميدًا أو سرطانيًا.
- قد يتم استخدام اختبارات مثل الطرد الدموي المقطعي (CT angiography) لتقييم الأوعية الدموية المحيطة بالورم.
- في حالات يشتبه في تأثير الورم على الأعصاب، قد يكون الطبيب بحاجة إلى إجراء اختبارات عصبية لتحديد التأثير على الوظائف العصبية.
يعتمد الخطة التشخيصية على حالة كل فرد ونوع الورم المشتبه به وأعراض ورم قاع الجمجمة. يتيح هذا الاستبيان للأطباء تحديد العلاج المناسب وتحديد مدى تأثير الورم على الصحة العامة للمريض
علاج ورم قاع الجمجمة
علاج ورم في قاع الجمجمة يعتمد على نوع الورم وطبيعته، بالإضافة إلى حجمه وموقعه. إليك بعض الخيارات الممكنة لعلاج ورم قاع الجمجمة:
الجراحة:
- في كثير من الحالات، يكون العلاج الرئيسي للأورام الخبيثة هو الجراحة. يهدف الجراحون إلى إزالة الورم بشكل كامل أو جزئي.
- قد يتم أيضاً إجراء جراحة لإزالة الكيسات أو الأورام الحميدة إذا كانت تسبب أعراضًا أو تؤثر على الهيكل الجمجمي.
العلاج الإشعاعي:
- يمكن استخدام العلاج الإشعاعي لتدمير خلايا الورم أو تقليل حجم الورم قبل الجراحة.
- يمكن أن يكون العلاج الإشعاعي هو العلاج الرئيسي في بعض الحالات حيث لا يمكن إجراء الجراحة.
العلاج الكيميائي:
- يتضمن استخدام الأدوية الكيميائية لقتل الخلايا السرطانية أو تقليل نمو الورم.
- قد يستخدم العلاج الكيميائي بمفرده أو يتم توجيهه بعد الجراحة أو مع العلاج الإشعاعي.
متابعة ومراقبة:
- في بعض الحالات حيث الورم غير سرطاني ولا يسبب أعراضًا خطيرة، قد يختار الأطباء مراقبة الحالة دون إجراء علاج فوري.
تتضمن هذه الخطة متابعة الورم بانتظام من خلال فحوصات وتصوير طبي لضمان عدم تغير الحالة.
يجب أن يقرر العلاج المناسب بناءً على تقييم شامل للحالة الطبية للفرد وخصائص الورم. يتعاون الفريق الطبي، الذي يشمل الأطباء وأخصائيين آخرين، لتحديد الخطة العلاجية الأمثل لضمان أفضل نتائج للمريض
في الختام، يجب على الجميع أن يدركوا أهمية الوعي بـ أعراض ورم قاع الجمجمة والبحث عن الرعاية الطبية عند الحاجة. إن التواصل المستمر وتقديم الدعم لبعضهم البعض يمكن أن يكون ذا أثر كبير في تحسين نوعية الحياة لأولئك الذين يعانون من هذا المرض النادر.
أسئلة شائعة
هل يمكن أن يسبب الورم ألمًا في الرأس؟
نعم، الورم قاع الجمجمة قد يسبب ألمًا في الرأس ويمكن أن يزداد الألم مع مرور الوقت.
هل هناك أعراض أخرى ترتبط بالورم؟
قد تظهر أعراض أخرى مثل تغيرات في الرؤية، والإحساس بالتنميل في بعض الأجزاء من الجسم، وتغيرات في النمط النوم.
هل يمكن أن يؤثر الورم على وظائف الدماغ؟
نعم، يمكن لورم قاع الجمجمة التأثير على وظائف الدماغ، مما قد يؤدي إلى مشاكل في التركيز، والذاكرة، والتنسيق.
هل الصداع النصفي يشير إلى وجود ورم قاع الجمجمة؟
الصداع النصفي قد يكون أحد الأعراض، ولكن لا يمكن الاعتماد عليه وحده لتشخيص وجود ورم.
متى يجب على الشخص رؤية الطبيب؟
إذا كان هناك أي اشتباه في وجود ورم قاع الجمجمة أو إذا زادت حدة الأعراض، يجب على الشخص مراجعة الطبيب لتقييم دقيق وتحديد الفحوصات اللازمة.